Yazdır

Kompleks Parsiyel Nöbetlerle Başvuran Hipoparatiroidizme Bağlı Serebral Kalsifikasyon Olgusu

Temel TOMBUL*, Ömer ANLAR*, Özkan ÜNAL**


  * Yüzüncü Yıl Üniversitesi Tıp Fakültesi, Nöroloji Anabilim Dalı

** Yüzüncü Yıl Üniversitesi Tıp Fakültesi, Radyodiagnostik Anabilim Dalı, VAN

ÖZET

Serebral kalsifikasyonların patogenezinde çeşitli faktörler rol oynamaktadır. Bilateral, simetrik kalsifikasyonlar en sık idiopatik ailesel olarak veya kalsiyum ve parathormon metabolizmasındaki bozukluklarda görülür. Bu makalede kliniğimize davranış değişikliği, anlamsız tekrarlayıcı konuşma ve haraketler, otomatizmalarla şekillenen kompleks parsiyel nöbetlerle başvuran 16 yaşındaki erkek olgu sunuldu. Hastanın öyküsünde iki yıldan bu yana değişik aralıklarla jeneralize tonik klonik nöbetler de vardı. EEG’de her iki temporal ve oksipital bölgelerde belirgin fokal yavaşlama vardı. Bilgisayarlı beyin tomografisinde bazal ganglionlar, serebral ve serebellar hemisferlerde simetrik, yaygın ve yoğun kalsifikasyonlar görüldü. Serum kalsiyum ve parathormon düzeyi düşük, fosfor düzeyi yüksekti. Olgu hipoparatiroidizm olarak değerlendirilerek D vitamini ve kalsiyum tedavisi başlandı. Kompleks parsiyel nöbetler için 600 mg/gün karbamazepin verildi. Hastanın bir yıllık takibinde de nöbet tekrarı gözlenmedi. Serebral kalsifikasyonlu hastalar çeşitli nörolojik tablolarla başvurabilmekle birlikte, olgumuz kompleks parsiyel nöbetle gelmesi nedeni ile ilginç bulunarak sunuldu.

Anahtar Kelimeler: Serebral kalsifikasyon, epilepsi, kompleks parsiyel nöbet, hipoparatiroidizm

SUMMARY

A Case of Cerebral Calcification Due to Hypoparathyroidism Admitted with Complex Partial Seizures from

Several factors play a role in etiopathogenesis of cerebral calcifications. Bilateral, symmetrical calcifications are commonly seen in idiopathic, familial entity or secondary to disturbances of parathormone and calcium metabolism. In this article, a 16 year-old male patient admitted with complex partial seizures presented with abnormal speech and stereotypical movements, automatism and behavior disturbances was reported. In history, he has also generalised tonic-clonic seizures in different intervals for two years. There was focal slowing on temporal and occipital regions on EEG. Diffuse, symmetrical and dense calcifications were seen in basal ganglia, cerebral and cerebellar hemispheres on computerized tomography. Level of serum calcium and parathormone were low and level of serum phosphorus was elevated. The case was evaluated as hypoparathyroidism, so vitamine D and calcium treatment were started. Carbamazepin (600mg/day) was given for complex partial seizures. Seizure recurrence wasn’t observed at one year follow-up. Although patients with cerebral calcifications may present with various symptoms, this case who presented complex partial seizures was found interesting and reported.

Key Words: Cerebral calcifications, epilepsy, complex partial seizure, hypoparathyroidism

GİRİŞ

Serebral kalsifikasyonlar değişik etyolojik nedenlerle ortaya çıkabilir ve oldukça çeşitli semptom ve bulgularla kendini gösterebilir. Hipoparatiroidi, psödohipoparatiroidi, Fahr hastalığı, Wilson hastalığı, mitokondrial ensefalopatiler, neoplaziler, anoksi, karbonmonoksit ve kurşun zehirlenmesi, radyasyon terapisi ve bazı infeksiyonlar başlıca kalsifikasyon nedenleridir (1-5). Hipoparatiroidili olguların çoğu sporadik olmakla birlikte otozomal dominant geçişli ailesel olgular da bildirilmiştir. Serebral kalsifikasyonlara rutin bilgisayarlı tomografi (BT) incelemelerinin %0.3-1.2’sinde rastlanmaktadır. Bilateral bazal ganglia ve serebellar kalsifikasyon sıklığı yaş ile artmakta ancak bunların çoğu semptom vermemektedir (5).

Hipoparatiroidi, idiopatik, fonksiyonel ya da paratiroidleri etkileyen cerrahi girişimler ve radyoterapiyi takiben ortaya çıkabilmektedir (1,6-8). Hipoparatiroidide dolaşan kanda iyonize kalsiyum düşük olmasına karşın interstisyel dokularda artar (1,2,9). Nörolojik komplikasyonlar hem kalsiyum metabolizmasındaki bozukluğun santral ve periferik sinir sistemindeki direkt etkisine, hem de ileri dönemde gelişen intrakranial kalsifikasyonların lokalize etkisine bağlı olarak gelişebilmektedir. Nörolojik açıdan tetani, kas krampları, parkinsonizm, baş ağrıları, konvulsiyonlar görülebilir (2,3,8). Nöbetler daha çok jeneralize grand mal tipinde olmaktadır. Basit ve kompleks parsiyel nöbetler olağan değildir (8).

Bu çalışmada hipoparatiroidizme bağlı kompleks parsiyel ve sekonder jeneralize tipte nöbetlerle başvuran yaygın simetrik serebral kalsifikasyon olgusu sunulmuştur.

OLGU SUNUMU

Onyedi yaşındaki erkek hasta kliniğimize baş ağrısı; davranış değişikliği, bilinç bozukluğu anlamsız hareket ve davranışlarla şekillenen nöbet geçirme ve bayılma nöbetleri yakınmaları ile başvurdu. Olgunun yakınmaları yaklaşık iki yıl önce başlamıştı. Bilinç kaybı ve tüm vücutta kasılmaların olduğu jeneralize tonik klonik tip nöbet tarifleniyordu. Bu şikayetlerle başvurduğu sağlık kurumunda 300 mg/gün fenitoin başlanan hastanın bu nöbetleri belirgin olarak azalmıştı. Ancak son zamanlarda bilinç bozukluğu, etrafa anlamsız bakma, konuşmada duraklama, bazen gözlerin ve başın tonik deviasyonu, ayaklarını yere vurma şeklinde stereotipik amaçsız hareketler yaparak nöbetler geçirmeye başlamıştı. Bu nöbetlerin birkaç dakikadan yarım saate kadar değişen sürelerle devam ettiği, bu sırada hastanın çevresi ile ilişkisinin tamamen kesildiği ifade ediliyordu. Öz ve soy geçmişinde bir özellik yoktu.

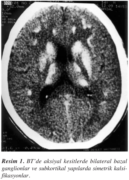
Nörolojik muayenede bilinç açık ve koopere idi. Yapılan kısa mental durum testinde (mini mental state- MMST), mental işlevlerde orta derecede bozukluk saptandı. MMST skoru 23 bulundu. Bu tabloda dikkat ve konsantrasyon bozukluğu gibi daha çok frontal işlev bozukluğu hakimdi. Derin tendon refleksleri hipoaktifti. Her iki gözde katarakt mevcuttu. Serebellar testlerde bilateral hafif dismetri ve disdiadokokinezi saptandı. Tonus üst ekstremitelerde hafif artmıştı. Duyu ve motor muayene normaldi. Patolojik refleks saptanmadı. EEG’de hafif ve yaygın organizasyon bozukluğu zemininde bilateral temporal ve frontal bölgelerde intermittan ritmik delta yavaşlamaları gözlendi. BT incelemesinde bazal ganglionlarda belirgin olmak üzere her iki serebral hemisferde subkortikal bölgelerde ve serebellar hemisferlerde yaygın, yoğun ve simetrik kalsifikasyonlar saptandı (Resim 1 ve Resim 2).

Laboratuvar incelemelerinde tam kan sayımı, üre, ürik asit, glukoz, kreatinin, sodyum, potasyum, karaciğer fonksiyon testleri normal bulundu. Serum kalsiyum düzeyi düşük (%7.2 mg/dl), fosfor düzeyi yüksek bulundu (%10.1 mg/dl). Farklı tarihlerde bakılan 24 saatlik idrarda kalsiyum düzeyi 7.8 ve 5.9 mg/dl idi. İntakt paratiroid hormon düzeyi (PTH) 4 pg/ml olarak saptandı (Normal değer: 10-65 pg/ml). Ayrıca C-terminal spesifik PTH düzeyi çalışıldı ve bu değer de düşük bulundu. Ailede benzer hastalık öyküsü bulunmaması, iskelet deformitesinin olmaması nedeniyle ayırıcı tanıda konjenital hipoparatiroidizmden uzaklaşıldı ve primer hipoparatiroidizm tanısı koyuldu. Tedavi olarak kalsiyum ve D vitamini preperatları başlandı. Hastanın epileptik nöbetleri kompleks parsiyel tipte olması nedeni ile karbamazepin 600 mg/gün başlandı. Klinikte yattığı bir aylık süre içerisinde nöbet izlenmeyen olgunun yaklaşık bir yıllık takibinde de nöbet tekrarı görülmedi.

TARTIŞMA

Nörolojik tutuluma sıkça rastlanabilen hipoparatiroidi, idiopatik veya fonksiyonel olabileceği gibi tiroid operasyonlarını, laringeal girişimleri ve paratiroidleri etkileyen radyoaktif ışınlamaları takiben ortaya çıkabilmektedir (6,8,10). Olgumuz tiroidektomi veya bu bölgeye yönelik başka bir fiziksel travma geçirmemişti. Hipoparatiroidi, PTH’nın sekresyonunun veya periferal etkisinin azalması sonucu gelişebilir. Elektrolit bozukluklarından en sık, hipokalsemi, hiperfosfatemi ve hipomagnezemi bulunur (2,9,10). Hipomagnezemi genellikle fonksiyonel tip hipoparatiroidide rastlanan bir bulgudur (2). Bizim olgumuzda serum PTH düzeyi düşüklüğü ile birlikte hipokalsemi ve hiperfosfatemi vardı. Bu nedenle olgumuz primer idiopatik hipoparatiroidi olarak değerlendirildi. Hormona periferik rezistanslı psödohipoparatiroidi tiplerinde de nörolojik tutulum olabileceği bildirilmiştir. Burada serumda dolaşan antagonistler, anormal reseptör bağlayıcı enzimatik aktiviteden sorumlu olmaktadır (2,3).

Klinik tabloda nörolojik açıdan başlıca paresteziler, nöromusküler hiperaktivite, trofik deri bozuklukları, baş ağrıları, katarakta bağlı görme bozukluğu, Chvostek ve Trousseau testlerinin pozitif olması gibi bulgular ortaya çıkabilmektedir. Serebral kalsifikasyona bağlı olarak ileri dönemde klasik parkinsonizm bulguları, epileptik nöbetler ve kas spazmları ortaya çıkabilir (2-5,7). Olgumuzda başlıca hafif parkinsonien bulgular, baş ağrıları ve epileptik nöbetler klinik tabloyu oluşturuyordu.

Nöbetler hipoparatiroidili olguların yaklaşık %50’sinde görülebilmektedir. Mental durumda psikozdan demansa kadar değişebilen bozukluklara rastlanabilir (4,8,10). Olgumuzda hafif mental işlev bozukluğu vardı. Mental gerilik özellikle familyal hipoparatiroidinin en sık karşılaşılan nörolojik bulgusudur. Konvulsiyonlar hipokalseminin iyi tanınan işaretleridir ve etyoloji ile direkt ilişkisi olmayan bir bulgusudur. Bununla birlikte hipokalsemi ve tetanisi olan birçok hasta epilepsili değildir. Nöbetler genellikle jeneralizedir ve EEG’de jeneralize anormallikler gösterilebilir. Ancak bunların çoğu nonspesifiktir (6-8). Olgumuzdaki kompleks parsiyel nöbetlerin serebral kalsifikasyonun direkt fokal epileptojen etkisine bağlı olabileceğini düşünmekteyiz. Merkezi sinir sistemi irritabilitesinin ve EEG değişikliklerinin, bazı hastalarda kalsiyumun düzelmesi ile normale dönebildiği bildirilmiştir (8). Bizim olgumuzda kalsiyumun yükselmesi ile nöbetler ve EEG bulguları devam etmiştir. Hastamızda antikonvülzan kullanımı ile nöbetlerin sonlanması kalsifikasyonların direkt epileptojen özellikte olabileceği tezini doğrulamaktadır. Bu etki olgumuzda olduğu gibi kompleks parsiyel nöbetlere yol açabilmektedir.

İntrakranial kalsifikasyonlar, hipoparatiroidinin oldukça sık görülen bir özelliğidir ve başlıca bazal ganglionlarda görülür (1,3,6-8). Ayrıca serebellar hemisferlerde, dentat nukleusta, nukleus ruberde, hipokampusta ve serebral kortekste de ortaya çıkabilir (1,2,4-7). Topografik olarak başlıca lokalize, multipl yama tarzında ve bilateral simetrik kalsifikasyonlar olarak sınıflandırılırlar. Bazal ganglion kalsifikasyonları en sık globus pallidusta görülür. Yaşlılarda fizyolojik olarak punktat ve hafif düzeyde bulunabilir. Putamen lokalizasyonlu olanlarda hipoparatiroidi veya psödohipoparatiroidi düşünülmelidir (1).

Semptomların genellikle lokalizasyonla ilişkili olmadığından sözedilmekle birlikte parkinsonizm, koreatetoz ve tremor gibi ekstrapiramidal bulgulara sık rastlanır (6,7,11,12). BT’deki kalsifikasyon lokalizasyonları her zaman klinik bulgularla korelasyon göstermese de (12), manyetik rezonans ile yapılan bir çalışmada, nörolojik manifestasyonların kalsifikasyonların lokalizasyonu ile sıkı ilişkisi vurgulanmaktadır (11). Hipoparatirodizmde serebellar hemisferler ve subkortikal bölgelerde de kalsifikasyon bulunabilir. Bizim olgumuzda da bilateral ve simetrik olmak üzere bu bölgelerde kalsifikasyon vardı. Oysa Fahr hastalığında daha çok bazal ganglion tutulumu belirgindir ve subkortikal beyaz cevher korunmuştur. Ayrıca Fahr hastalığında otozomal dominant veya resessif geçiş sözkonusu olup paratiroid metabolizması bozukluğu olmadan kalsiyum ve demir depositleri birikmektedir (1,8,11,13). Olgumuzun aile öyküsünde böyle bir hastalığa rastlanmamıştır. Kafa içi basınç artışı ve papil ödemi, hipoparatiroidili bazı olgularda rastlanabilir. Psödotümör serebri, serum kalsiyumunun düzeltilmesi ile normale döner (3,8).

Klinik tablo, laboratuvar incelemeleri idiopatik hipoparatiroidi ile uyumlu olan olgumuz, epileptik nöbetlerin artması ile başvurmuş ve tanı ancak BT sonucu konmuştur. Bu nedenle klinik uygulamada özellikle tedaviye dirençli epileptik olgular parsiyel nöbetlerle başvurmuş olsalar dahi, zeminde endokrin defektler de düşünülerek tetkikler yönlendirilmeli ve görüntüleme yöntemleri mutlaka uygulanmalıdır.

KAYNAKLAR

  1. Taveras JM. Neuroradiology. General Pathologic Conditions. 3rd ed. Baltimore, William-Wilkins, 1996: 79-154.
  2. Elie E, Julien J, Ferrer X. Familial idiopathic cerebral calcifications. Neurology 1989; 39: 399-405.
  3. Aminoff MJ. Neurological complication of systemic disease. In: Bradley WG, Darof RB, Fenichel GM, Marsden CD (ed). Neurology in Clinical Practice. 2nd ed, volume 2, Boston, Butterworth-Heineman Inc, 1995: 905-931.
  4. Lopez-Villegas D, Kulisevshy J, Deus J, Juncue J, Pujal J, Guardia E, Grau JM. Neuro psychological alterations in patients with computed tomography detected basal ganglia calcification. Arch Neurol 1996; 53: 251-256.
  5. Kobari M, Nogava S, Sugimoto Y, Fukuuchi Y. Familial idiopathic brain calcification with autosomal dominant inheritance. Neurology 1997; 48: 645-649.
  6. Illium F, Dupont E. Prevelances of CT-detected calcification in idiopathic hypoparathyroidism and pseudehypoparathyroidism. Neuroradiology 1985; 27: 32-39.
  7. Muenter MD, Whisnant JP. Bazal ganglia calcification, hypoparathyroidism and extrapyramidal motor manifestations. Neurology 1968; 1075: 18-24.
  8. Schipper HM, Abrams GM. Other Endocrinopathies and Nervous System, In: Aminoff MJ (ed). Neurology and General Medicine. New York, Churchill Livingstone Inc, 1995: 383-407.
  9. Herzkovitz E, Shalitin S, Lavy J, Leiberman E, Leinstock A, Varsano I, Gorodischer R. A new syndrome of congenital hypoparathyroidism. Isr Jor Med Sci 1995; 31: 293-295.
  10. Goel A, Bhatnagar MK, Vashista A, Verma NP. Hypoparathyroidism with extensive  intracranial calcification: A case report . Postgrad Med J 1994; 70: 913.
  11. Avrahami E, Cohn DF, Feibel N, Tadmor R. MRI demonstration and CT correlation of brain in patiens with idiopathic intracerebral calcificiation. J Neurol 1994; 241: 381-384.
  12. Koller WC, Cochran JW, Klawans KL. Calcifications of the basal ganglia: computerised tomography and clinical correlations. Neurology 1979; 29: 328-333.
  13. Turgut M, Öztekin NS, Zileli T. Fahr’s Syndrome, a case report. Acta Neurol Belg 1990; 91: 29-34.

YAZIŞMA ADRESİ:

Dr. Temel TOMBUL

Yüzüncü Yıl Üniversitesi Tıp Fakültesi

Nöroloji Anabilim Dalı

VAN

Yazdır